MTM® Clear Aligners (a.k.a. clear braces) are an orthodontic clear plastic aligner solution for the front eight teeth to straighten and reposition teeth. MTM stands for minor tooth movement. MTM® Clear Aligners are similar to Invisalign, Simpli5, and ClearCorrect.. Clear Aligners Before and After, What to Expect. If you decide you want to get Invisalign, and you've received the 'OK' from your orthodontist, the first step is to take x-rays of your teeth. From there, the orthodontist will formulate a plan that will shift your teeth into a more desirable location.

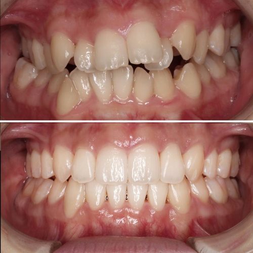
Clear Aligners Before and After Photos MS Dental

All About Clear Aligners and Invisible Braces Treatment in Bangalore. Childhood Smiles

DM Clear Aligners

Invisalign in Platte City , Gladstone , Parkville , Invisalign in Kansas City Kc Braces + Kids

Spark Clear Aligners on Harley Street Pro Dental Clinic

Clear plastic aligners Miami, FL Dentist Brickell Dental General Dentist

Invisalign Clear Aligners Deals Sale, Save 44 jlcatj.gob.mx

Do Clear Aligners Actually Work?

Invisalign in Platte City , Gladstone , Parkville , Invisalign in Kansas City Kc Braces + Kids

Before & After Clear Aligners Mountlake Terrace Invisible Braces

How to Choose Between Traditional Dental Braces or Invisalign® 23 Smiles

Clear Aligners Price, Procedure, Pros & Cons Stellar Dental

Clear Aligner Therapy Johnson Family Dentistry Dentist in Devil's Lake ND

Spark Aligners Reviews Is it worth the price? The Teeth Blog

Spark Clear Aligners in Melbourne CBD Dental Advance

Clear aligners Vs Conventional metal braces

Clear Correct Aligners Patient Before and Afters Family Dentistry

Invisalign in Platte City , Gladstone , Parkville , Invisalign in Kansas City Kc Braces + Kids

Clear Aligners in West New York NJ 07093 Affordable Clear Aligners

Clear Correct Aligners Patient Before and Afters Family Dentistry
Crystal-clear aligners start here. Created by industry experts — Reveal is a uniquely clear aligner made for people whose priority is a truly invisible aligner. Find a Reveal provider near you for the beautiful results you want and the professional expertise to ensure an efficient and correct treatment plan.. Clear aligners (or clear braces) are an alternative to lingual braces and traditional metal braces orthodontic treatments for teeth alignment and a straight smile through a significantly less noticeable and intrusive orthodontic solution. Invasiveness is graded based on factors such as anesthesia practices, incisions, and recovery notes common.